notitle
所用時間最短5分で完了!
まずはお試しください!
iTeroElementによる
矯正治療後の無料3Dシュミレーション
iTeroElement(3D光学スキャナー)は、1秒に約6000枚の画像を取り込みながらスキャンし、歯並びを3Dデジタルデータ化します。データ化された画像は、インビザライン社に蓄積されている600万件以上の症例データから予測分析され、その場で矯正治療後の歯並びを確認することができます。
当院の矯正治療の特徴
認定医インビザドクターの診療
インビザライン矯正で失敗しないためには、治療を受ける病院を選ぶことは、とても重要です。当院では、インビザドクターが在籍しており、数多くの症例実績があります。患者様1人ひとりのご要望を考慮し、納得いく矯正治療をご提案します。
先端機器による適切な治療
セファログラム
(頸部x線規格写真)
頭蓋骨のレントゲン写真を撮影することで、歯列弓や上下顎の位置•骨格の成長の変化や歯の移動などを分析することができます。そのため、より正確な矯正治療をすることができます。
CT
3D画像診断で立体的で正確な骨の形状を把握し、安全で確実性のある治療が行えます。
口腔内スキャナー
(iTeroエレメント5D•
AoralScan3)
口腔内を小型カメラで撮影し、そのデータを用いてコンピューター上に口腔内の立体画像を再現する装置です。口腔内の細部を精密に捉えることができます。また、アルジネート印象材(ジェル状の型取り素材で、硬く変化することで歯型を採取する)を使わずに型取りができるため、嘔吐反射のある患者様の負担を軽減することができます。
院長紹介
所属学会
- 日本顎咬合学会
- 日本口腔インプラント学会
- 日本歯周病学会
- 日本臨床歯周病学会
資格
- 日本顎咬合学会認定医(かみ合わせ認定医)
- POD勉強会、SSRG、TNG、PGI名古屋
透明なマウスピース(インビザライン)
ワイヤーによる矯正は通常1ヵ月ごとにワイヤーを交換します。そして、マウスピース矯正の場合は、通常2週間ごとにマウスピースを交換していきます。すなわち、ワイヤーで一度に強い力を加えるか、マウスピースで弱い力を小刻みにくわえていくかという違いなのです。
なので、マウスピース矯正の場合は、来院が一か月ごとでも、装置は2週間ずつ新しいバージョンになっていきます。そうすることで、より痛みを少なく、無理なく動かすことが可能となり、「目立たない」「痛くない」矯正を実現しています。
ちなみに、一人あたりの患者さんのために作成するマウスピースは30~60個にも及びます。しっかりと細かいマウスピース調整によって、より確実に歯を矯正していきます。
米国アライン・テクノロジー社は、マウスピース型矯正治療「インビザライン・システム」を、米国の矯正歯科医師を対象に提供を開始いたしました。目立たず、透明に近い、取り外しが可能な新しいアプローチの歯科矯正インビザライン・システムは、現在、世界100カ国以上の国々で提供されこれまでに420万人を超える患者様が治療を受けられています。
(2016年12月現在)
マウスピース矯正
(インビザライン)の
特徴
目立ちにくい
マウスピース型矯正の装置は薄く透明なため、ワイヤー矯正とは異なり目立ちにくく、周囲の人に気づかれることはほとんどありません。

痛みが少ない
段階的に歯を動かして矯正するため痛みが少ないのが特徴です。

取り外しができる
歯科医院で調整以外に装置を外すことができないワイヤー矯正と違い、マウスピース矯正は食事や歯磨き時など患者様自身が必要な時に外すことができます。

金属アレルギーの心配がない
マウスピース型の矯正装置には金属を使用していません。矯正治療を金属アレルギーの為にためらっていた方も安心して歯列矯正治療(歯科矯正)を受けていただけます。

当院おすすめ!
インビザラインのメリット
マウスピース矯正と
その他矯正の比較
| マウスピース矯正 (インビザライン) |
セラミックブラケット矯正 ※前歯部のみ |
メタルブラケット矯正 | |
|---|---|---|---|
![]() |
![]() |
![]() |
|
| 目立ちにくさ | ○ 薄く透明 |
○ 歯の表面が透明で 目立ちにくい |
△ 歯の表面が銀で目立つ |
| 取り外しの可否 | ○ 取り外し可能 |
× 治療終了まで不可 |
× 治療終了まで不可 |
| 痛みの少なさ | ○ 傷みにくい |
△ 痛みが起きやすい |
△ 痛みが起きやすい |
| 金属アレルギー | ○ 金属未使用 |
× 金属アレルギーの懸念あり |
× 金属アレルギーの懸念あり |
| 治療費用 | △ | △ | ○ |
- 01. カウンセリング
- 治療計画を立て、術前のお口のレントゲンをします。治療を始める前に、患者様のお悩みや疑問などを、時間をかけてお話を聞き解決していきます。歯科医師からは患者様の口腔内や生活習慣の状況を伺い、患者様にとって適切な治療をご提案させていただきます。
- 02. 精密検査
- 噛み合わせや歯並びの状態の検査を行い、そのデータを元に歯科医師が今後の治療計画を作成します。
- 03. 治療計画のご説明
- 治療計画と、治療期間、費用についてお話いたします。今の歯並びがどのような状態で、今後どのようにして治療していくかもしっかりとご説明をいたします。
- 04. 矯正開始・保定(1ヵ月に1度ご来院)
- (1)治療計画に沿ったマウスピースの作製を開始します。
(2)マウスピースが完成後、ご来院していただき装着をスタートします。来院時には、装着の仕方や取り扱いについてお話いたします。
※マウスピースの装着が短かったりすると、治療計画通りに進まず、治療期間が延びてしまう場合がございます。
※食事の際には、装置を取り外すことができるため、食べ物が装置に付着する心配はございません
- 05. 治療終了・保定
- 綺麗になった歯並びが続くよう、保定装置(後戻り防止装置)を使用して、美しい歯並びを維持していきます。
矯正治療終了後の流れ
矯正後の後戻りを防ぐために
矯正後は、「後戻り防止」のために保定装置(リテーナー)の装着が重要となってきます。なぜなら、保定を行わないと骨や咬み合わせが安定しておらず、元に戻りやすいからです。特に、矯正治療を行った直後は後戻りが起きやすいため、矯正治療終了後に適切に保定装置の装着を行うことで、ベストな状態をキープできるようにします。装着の期間としては、最低でも動かした期間と同じ期間は装着し続ける必要があります。
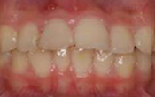
リテーナーあり
矯正終了時の写真です。きれいな歯並びになりました。
リテーナーをした場合、きれいな歯並びを維持します。
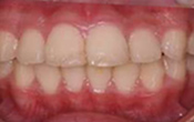
リテーナーなし
矯正後、きれいになった歯並びが後戻りした状態です。
リテーナーをしない場合、元に戻りやすいです。(2年後)
料金表
| 矯正相談料 | 無料 |
|---|---|
| 精密検査 | 33,000円 →キャンペーン価格 7,700円 |
| インビザライン・ライト | 297,000円 |
| インビザライン・モデレート | 594,000円 |
| インビザライン・コンプリヘンシブ | 935,000円 |
| 管理料 | 5,500円 / 1回 |
| 保定料 | 33,000円 |
- ※表示金額は全て税込みです。
- ※ケースにより適応外と診断されることもございます。
- ※上記にはむし歯の治療、抜歯などの一般歯科の費用は含みません。
加速矯正装置
(スピード矯正)装置
PBMHealingOrtho、
オーソパルスで治療期間を短縮
「PBMヒーリングオルソ」または「オーソパルス」は、フォトバイオモジュレーション(Photobiomodulation)の効果により、歯を早く細胞活性化、痛みを緩和しながら血管拡張•抗炎症作用することで安全に移動させる画期的な装置です。光技術の力を利用して、患者様ご自身の治癒力を高めます。先端の科学研究による技術を組み込んだ非常に革新的なアプローチを用いて、歯列矯正の方法に変化をもたらします。口腔外科医のAlan博士(ノーベル賞受賞)は、近赤外線が骨の細胞への代謝促進をすることを矯正治療に応用しました。この装置を使うことで、1週間ごとに交換していたマウスピースを最短で3日ごとに交換ができ、治療期間の短縮が期待できます。
※ご使用方法•取り扱い方法については、各製品ケース内に封入されている取扱説明書をご参照ください。
以下の方は使用いただけません
- 光線過敏症またはそれを引き起こす可能性のある薬を服用中の方
- 口腔衛生状態の悪い方
- 骨粗しょう症の薬を服用中の方てんかんの方
- 歯周病または急性口腔感染されている方
- 心臓にペースメーカーを入れている方
お支払方法
現金
現金でのお支払い
クレジットカード
※自費診療のみ
VISA/JCB/
Mastercard/など
デンタルローン
低金利分割払いでの
お支払い
- 医療費控除について
- 自分自身やご家族のために、その年の1月1日から12月31日までの間に10万円以上の医療費を支払った場合、税務署へ確定申告することで、治療費の一部が戻ってきます。治療や通院の際にかかった経費の領収書などは大切に保管しておきましょう。
デンタルローンについて
デンタルローンとは、患者様のための歯科治療専門ローンです。患者様に代わってローン会社が歯科医院に治療費を支払い、患者様は毎月決められた金額をローン会社に返済します。一般的なクレジットカードに比べて、分割手数料(金利)が低いのが特徴です。
保険のきかない高度な治療を受けたくても、高額な費用がネックになっている方は、月々わずかな手数料負担で分割払いができる「デンタルローン」がおすすめです。
ご利用いただける主な治療
矯正・予防治療・インプラント
審美治療・ホワイトニング・特殊な入れ歯
変色しない被せ物
「オールセラミック冠」の場合
30万円/分割回数
ボーナス併用返済の場合
月々5,700円/36回払い
| お支払い例 | |
|---|---|
| ご利用額 | 300,000円 |
| 分割支払い手数料 | 28,500円 |
| お支払い総額 | 328,500円 |
| 月々のお支払い金額 | 5,700円 |
| ボーナス月加算額 | 20,000円 |
分割返済の場合
月々9,100円/36回払い
| お支払い例 | |
|---|---|
| ご利用額 | 300,000円 |
| 分割支払い手数料 | 28,500円 |
| お支払い総額 | 328,500円 |
| 月々のお支払い金額 | 9,100円 |
| ボーナス月加算額 | 0円 |
※初回お支払額で端数調整いたします。
※申し込み条件、利用可能額、支払い回数等はローン会社によって異なります。
マウスピース矯正で歯が動きにくい場合
マウスピース矯正前
マウスピース矯正を行う前に準備矯正が必要な場合があります。
「第一小臼歯を抜歯後、犬歯(糸切り歯)だけを引いておく」など、ワイヤーの力を使い、動きにくい歯を動きやすい位置まで、あらかじめ移動させておく矯正です。

マウスピース矯正中
マウスピース矯正中に、マウスピースだけでは動きにくい場合は、ゴムの力を借りて歯を動かす場合があります。
また、部分的にワイヤーを使用する場合があります。

マウスピース矯正後
マウスピース矯正終了後に行う仕上げの矯正です。
仕上げで「微調整したい」ときなどに行います。マウスピースとゴムを利用した方法や、短期間だけ最小限にワイヤーを使用する方法があります。

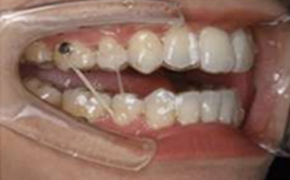
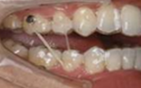
フック&ゴム
上下いずれかのマウスピースにあるフックと、歯の表面につけるリンガルボタンという金属の突起に、顎間ゴムというゴムをひっかけて、噛み合わせを整えます。マウスピース装着時間と同等の時間使用する必要があります。
※アライナー以外の装置が場合によっては必要になりますが、治療料金の中に含まれております。

よくあるご質問
期間はどれくらいかかりますか?
個人差もありますが、基本的には1年半から2年あれば、ほぼ終わります。ただ、綺麗に並んでからも、その後に「保定期間」という、後戻りをしないようにする期間があるんですね。この期間につけるのもマウスピースなので、矯正しているときと特に変わりはありません。
終わった後、半年~1年、つけてもらうことにはなるので、矯正で1年半、保定で半年ということで、2年ちょっと位はマウスピースをつけてもらうような形になります。
マウスピースでも痛いことはありますか?
痛みとして感じることはあまりありません。少し窮屈だなと感じることはあるかもしれませんが、痛みとして訴えてこられる方は少ないです。食事ができないですとか、そこまでの痛みはないと思っていただいて大丈夫です。
本当にマウスピースで歯並びが治るんですか?
はい、ワイヤーと同じように治ります。といいますのも、歯が動かすメカニズムというのは、ほぼほぼもう分かってきています。ですので、そのメカニズムに則れば、あとは何を使って動かすのかはそんなに大きな差があるわけではなくて、道具が違うだけというふうに考えていただけたらよいかなと思います。
あと、患者様にマウスピースとワイヤーとで、どちらの方が早いですか?とかどっちの方が良いですか?ということをよく聞かれるんですが、マウスピースとワイヤーで、それぞれ、得意な動かし方はあるにはあるのですが、その差で期間が半年も変わるといったことはございませんので、ご安心ください。
どんなふうに進めることになりますか?
一流れとしては、1週間に一回くらい、マウスピースを交換していくような形です。マウスピースが、ちょっとずつ形が違うので、そこに合わせて歯が動いていくっていうようなメカニズムです。付け替えたときは、若干窮屈なんですが、2・3日の内に動いていくので、ちょっとずつ歯がマウスピースになじんでいって、窮屈さもなくなっていくという感じですね。また、ひと月に一度、ご来院いただいて、正しく歯が動いているかを確認させていただきます。そのときに、次のマウスピースをお渡しするような形で進めていきます。
失敗してしまうこともありますか?
あまり失敗ということはないかなと思います。といいますのも、一か月に一回ご来院いただき、一か月分のマウスピースをお渡しするのですが、そのときに、ちゃんと歯が動いていっているか確認をするからです。定期的に、スキャナーでもう一度撮って、どこの歯が動いているか動いていないかを確認します。そのときに、うまく動いていっていない歯があるということも出てきます。その場合は、そのときの歯の状態に合ったように計画を練り直して、マウスピースを作り直し、そこから再スタートしていきます。この作り直しに追加費用はかかりません。無料でできます(※コンプリヘンシブ5年の場合)。
1年半で矯正をする計画の場合、だいたい、2回か3回ほど計画を練り直すことがありますね。やはり、お口の中って個人差が大きいものなので、常に予定通り、思った通りにばかりは進まないということもあります。ずれてきたときに、そこで修正していった方が、実は早く終わるので、そのように進めております。
マウスピース矯正とワイヤー矯正はそれぞれどう違いますか?
まず、歯を動かす道具が違うだけ、というところがあります。歯が動かすメカニズムというのは、ほぼほぼもう分かってきています。ですので、そのメカニズムに則れば、あとは何を使って動かすのかはそんなに大きな差があるわけではないとお考えください。あとは、マウスピースですと、他の人に気づかれにくいというメリットがあるのと、トラブルが少ないというのはありますね。
ワイヤーだと、はずれてしまうことがあって、そうなると医院に来てもらわないとつけることができないですし、なかなか来れなかったりするとその間に後戻りもしてしまいます。マウスピースの場合でしたら、もしアタッチメントが外れてしまったとしても、緊急でご来院いただく必要はなく、マウスピースをきちんとつけていただければ、大きな支障はございません。そこもマウスピース矯正の良いところですね。







